|
الابتسامة من أرخص الطرق لتغيير مظهرك |
|
||
|
05 23 320 320 - 08 08 316 561 : هاتف orthodontistemohammedia@yahoo.fr : البريد الإلكتروني |
|||
|
دكتورة خديجة القباج |
دكتور مولاي علي بوطالب |
|
|
|
|
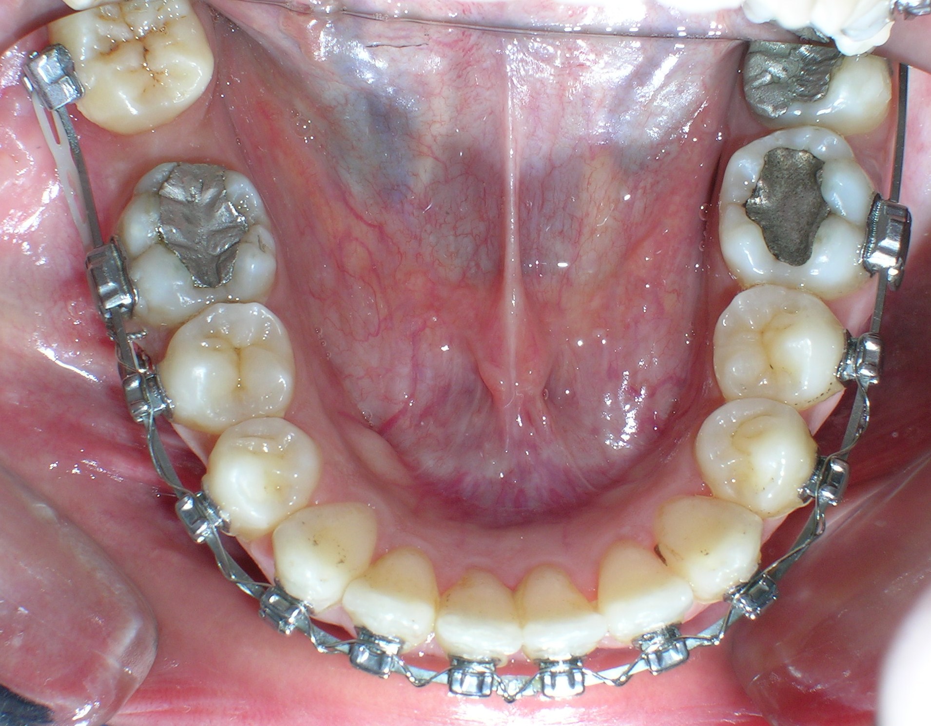
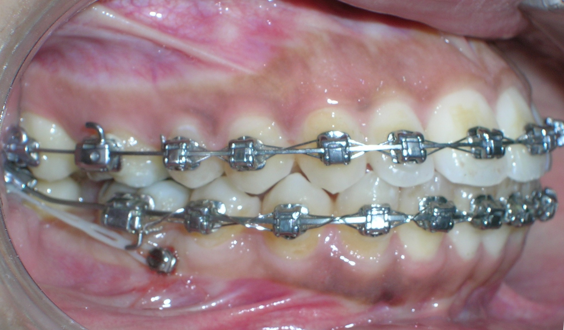
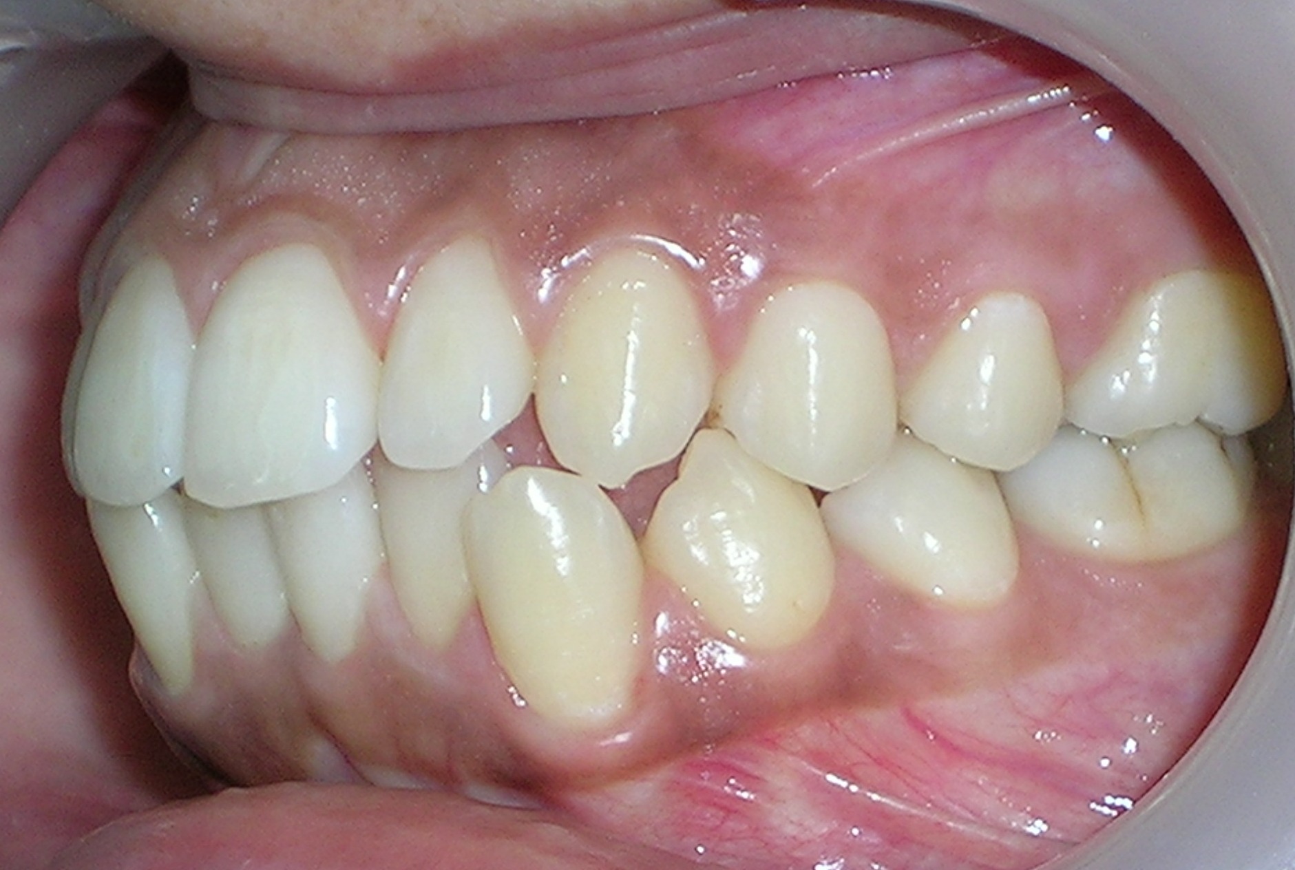
تعريف عام تقويم الأسنان هو فرع من طبِ الأسنان يَتخصّصُ في التشخيصِ ومنعِ ومعالجةِ الشذوذات والتغيرات في الأسنانِ والعظام الفكية الوجهية من حيث الموضع والحجم وعلاقة الأسنان والفكين ببعضها البعض. إنه يتعلق بتقويم الأسنان والفكين من أجل تحسين الابتسامة وصحة الفم. تعني كلمة "أورثو" أن الشيء سليم أو مستقيم في قوامه وتعني كلمة "أودونت" سنا. في العادة يوصي طبيب الأسنان بتركيب أجهزة تقويم الأسنان لتحسين المظهر الطبيعي لوجه وفم المريض. تَتطلّبُ ممارسةُ التقويم المعرفة المحترفة في وضع خطة العلاج وتطبيقِ الحاصرات السنية والتحكم بها لتحريك وجَلْب الأسنانِ والشفاهِ والفكين إلى الاصطفاف الصحيحِ والتوصّلُ إلى التوازنِ الوجهيِ. فمن خلال العلاج بتقويم الأسنان يتم معالجة المشاكل الناتجة عن الأسنان المتعوجة أو المتزاحمة وبروز الفك العلوي أو العضة المفتوحة وسوء وضعية الفك واضطرابات مفاصل الفك. بعد أخذ الأشعة والصور اللازمة يقوم طبيب التقويم بالعلاج اللازم وذلك بتثبيت أسلاك من المعدن على الأسنان أو يركب له جهاز متحرك ، ويتطلب ذلك العديد من الزيارات للطبيب على فترات متباعدة يحددها الطبيب المعالج حسب حالة كل مريض ويجب على المريض الاهتمام بتفريش أسنانه خلال فترة العلاج كي يتلافى ألإصابة بتسوس الأسنان أو ألتهاث اللثة نتيجة تراكم طبقة البلاك على أسنانه وأسلاك التقويم. التقويم يُمْكِنُ أَنْ يَرْفعَ ثقة الشخص بشكله ومظهره الشخصي عندما تصبح الأسنان والفكين والشفاه بوضعها الصحيح، لكن الابتسامةَ الجذّابةَ هي فقط إحدى فوائد التقويم الذي يؤدي أيضا لتَخفيف أَو مَنْع المشاكلِ الصحية بشكل عام، وهذا ما يعطي التقويم أهمية خاصة. فقط للحصول على ابتسامة رائعة و لكن صحّية أيضاً. الأسنان الموزعة باستقامة صحيحة في الفم تُحسّنُ إلى حد كبير الناحية الوظيفية في المضغ والبلع والكلام وتجعل التنظيف أسهل وأكثر فعالية وفائدة. الابتسامة الجميلة شيء رائع سواء عند امتلاكه أو رؤيته. الابتسامة الجذابة هي البداية فقط لكن تحسن الصحة الفموية والعامة تظل من الأهدافَ الم.همة في المعالجة التقويمة. أجهزة تقويم الأسنان الأجهزة الثابتة عبارة عن وحدات تقويمية صغيرة تثبت على كل سن، حيث يمرر بداخلها سلك معدني لتتم عملية تحريك الأسنان وهناك أنواع للحاصرات وهى: معدنية ستاليس ستيل ذات لون فظي. خزفية شفافة مشابهة للون الأسنان. ذهبية معدنية مطليه باللون الذهبي. هذه الأنواع جميعها تؤدى نفس الفعالية في العلاج والاختلاف الوحيد فيها هو لونها وشكلها الخارجي فالحاصرات المعدنية هى النوع السائد في التقويم بينما الخزفية نادرا ما تستخدم لأنها أغلى من المعدنية و.تحتاج إلى رعاية أكثر لسهولة كسرها وهى مرغوبة من النساء أكثر لأنها شفافة فلا يظهر من التقويم سوى السلك المعدني. اهمية تقويم الاسنان التنفس الصحيح استخدام الأطفال للمصاصة بالطريقة الخاطئة لمدة طويلة قد يؤدي الى ضيق الفك العلوي مما يسبب تنفس الطفل من فمه بدلاُ من انفه وهذه المشكلة سوف تصحح تلقائياً عند توسيع الفك العلوي باستخدام التقويم. الكلام بشكل جيد سوف يواجه ألإنسان صعوبة في النطق الجيد وذلك بسبب عدم انطباق الأسنان بالشكل الصحيح. وعدم القدرة على النطق الصحيح قد يؤثر على نفسية ألإنسان. الشكل الجميل إذا كانت وضعية الأسنان غير صحيحة فهذا سوف يؤثر على طريقة الكلام فستجد البعض يضع يده أمام فمه والآخر يقفل شفتيه ليخفي أسنانه وهذا بدورة سوف يجعل الكلمات غير واضحة واعوجاج وتزاحم أسنان الأطفال قد يؤثر على مستواهم الدراسي وذلك لخجلهم من أسنانهم فتراهم لا يشاركون ولا يتجاوبون مع مدرسيهم مما يجعل المدرسين يأخذون فكرة وصورة غير جيدة عنهم كعدم الاهتمام. الحالات التي تحتاج الى علاج التقويم التزاحم الشديد بين الأسنان الأمامية أو الخلفية – وجود فراغات كبيرة بين الأسنان الأمامية – وجود عضة أمامية مفتوحة – وجود عضة أمامية عميقة بحيث تغطي الأسنان الأمامية العلوية الأسنان الأمامية السفلية تغطية كاملة أو قريبة من الكاملة – وجود عضة أمامية معكوسة – عدم أو سؤ تطابق الأسنان الخلفية – بروز الأسنان الأمامية |


